Skip to main content
Crowns, Bridges, and Fillings
A healthy, beautiful smile starts here

Crowns, Bridges, and Fillings | Dentist
Improve your smile today – call to schedule a consultation!
Claim Now!

Crowns, Bridges, and Fillings

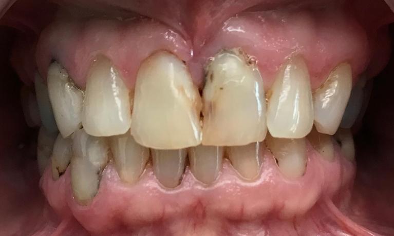
A dental cavity is caused by a bacterial byproduct that softens teeth, often turning the tooth structure yellow or brown. Once decay reaches a certain depth in the tooth, removing the bacteria is necessary to protect the nerve of the tooth.

At East Market Family Dental, we feel strongly about identifying cavities before they progress and cause more complicated and costly issues. 

Crowns and Fillings

Fillings are used to replace lost tooth structure and seal the tooth from bacteria that causes pain. Our doctors place mostly white, esthetic fillings at our practice. Metal fillings are still used in certain situations; however, you always have a choice as to which material we use.

The more extensive a filling becomes, the more likely it is for the remaining healthy tooth structure to fracture and need to be extracted. For this reason, our dentists may recommend placing a crown, or “cap” on the tooth. A crown is a unified layer of ceramic that safely distributes the forces of chewing, protecting your tooth.

Once a certain amount of structure is missing from a tooth, the likelihood of keeping it increases significantly when a crown is placed to protect it.

At East Market Family Dental, our doctors will thoroughly explain to you all of your treatment options so you can make an informed decision for yourself about your treatment.

Fixed Dental Bridges

Have you heard the term “bridge” used before when describing a dental procedure? Bridges are used in dentistry like they are on the open road – to close the gap between two opposing spaces. Specifically, we use bridges in dentistry as a way to replace missing teeth by attaching them to remaining healthy teeth in your mouth.

Please Call Us for An Appointment

At our practice, we understand that terms like “crowns” and “bridges” are typically unfamiliar to our patients. Our dentists take their time before treatment is performed to answer all of your questions and use models to explain what these terms mean as it relates to your mouth.

If you would like to learn more about crowns and bridges at our Blairsville, PA or Indiana, PA dental office, please call to arrange an appointment at your convenience.

Crowns and Bridges FAQs

Does having a filling, crown, or bridge placed in my mouth hurt?

No! Our dentists pride themselves on performing pain-free dentistry and strive to make your dental appointment as comfortable an experience as possible for our patients.

How much does my insurance cover with these procedures?

Every patient has different insurance coverage for these services. For this reason, many times our office will pre-authorize your insurance so the patient knows exactly what their out-of-pocket expense may be.

 

Meet Our Doctors:

Dr. Adam Highberger DDS
Dentist

Dr. Adam B. Highberger practices at both the Indiana and Blairsville locations.  He followed his father, Dr. Bruce C. Highberger,  into the dental field.  Dr. Adam completed his undergraduate studies ...

Dr. Christina M. Highberger D.D.S.

Dr. Christina M. Highberger is one of three dentists at East Market Family Dental. She completed her undergraduate studies at West Virginia University. Based on academic merit, Dr. Christina was ...

Dr. Marco L. Pilotta D.M.D.
Dentist

Dr. Marco L. Pilotta practices at both locations at East Market Family Dental.  Dr. Marco went to the University of Pittsburgh for his undergraduate ...

Dr. Brandon Drenning DDS
Dentist

Dr. Brandon Drenning joined our team at East Market Family Dental in 2022.  He is originally from Altoona, Pennsylvania and graduated from Juniata College with a degree in Biology.  He ...

Getting an appointment is fast and easy!
Get Started!