East Market Family Dental
Our Family, Taking Care of Yours
Request an Appointment
Like us on Facebook
Leave a Google Review
General and Aesthetic Dentistry
Blairsville
(724) 459-5640
|
Get Directions
Indiana
(724) 349-9661
|
Get Directions
Menu
Locations
Book Now
Home
About
Our Team
Blairsville
Indiana
Services
View All
Dental Implants
Crowns, Bridges, and Fillings
Dental Cleanings
Dental Exams
Emergency Treatment
Extractions
Partial Dentures
Root Canals
Veneers & Teeth Whitening
Clear Aligners
Smile Gallery
Testimonials
Contact
View All
Blairsville
Indiana
East Market Family Dental
>
Smile Gallery
>
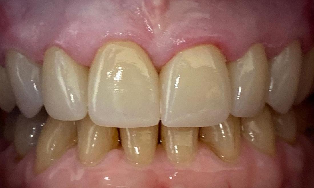
Ceramic Crowns
Ceramic Crowns
Return to Smile Gallery
Previous
Next
Before
After
Not finding what you need?
Contact Us
If you have difficulty using our website, please
email us
or call us at
(724) 459-5640
View the
ADA Accessibility Statement
Turn on ADA Views
OK!
×
×
Contact Us Today
Give Us A Call
Blairsville -
(724) 459-5640
Indiana -
(724) 349-9661
Send Us an Email
Which location?
Blairsville
Indiana
Request an Appointment
Contact Us
Ready to Schedule an Appointment?
Book Online
Have Questions? Contact Us:
Required Field
Your Name:
Phone:
Email:
Are you a new patient?:
Are you a?
New Patient
Current Patient
How would you like us to contact you?
Please choose
Email
Call
How did you hear about us?
Please choose
I'm an existing patient
Google/Bing
Mailer
Word of mouth
Social media
Other
Who Referred You?:
Appointment Preferences
Monday
Tuesday
Wednesday
Thursday
Friday
Your Message:
This site is protected by reCAPTCHA and the Google
Privacy Policy
and
Terms of Service
apply.
Sending...
×
This Patient's Experience
Loading Testimonial...
Loading Case...